Răng khểnh đẹp hay xấu? Có nên nhổ hay không?
Răng khểnh đẹp hay xấu là tình trạng gây tranh cãi rất nhiều. Một phần vì bất đồng trong quan niệm thẩm mỹ, một phần vì mức độ gây hại cho sức khỏe răng miệng. Bài viết dưới đây sẽ giúp bạn tự đánh giá tình trạng răng khểnh của bản thân, đồng thời giúp bạn đưa ra phương hướng xử lý phù hợp.
Răng khểnh là gì?
Răng khểnh chính là răng nanh số 3 bị mọc lệch. Thay vì mọc thẳng hàng với các răng khác, chiếc răng này sẽ mọc chìa ra bên ngoài rất dễ nhận biết.
Răng khểnh đẹp hay xấu?
Đánh giá thẩm mỹ của răng khểnh sẽ tùy thuộc vào quan điểm của từng người.
Quan niệm phong thủy
Theo quan niệm thẩm mỹ học phương Đông, người có răng khểnh là người sở hữu nét duyên dáng, cuốn hút, đáng yêu đặc biệt khi cười. Do đó, trong một số trường hợp, răng khểnh giúp tôn vẻ đẹp độc đáo của cá nhân.
Quan niệm y khoa
Đối với nha khoa, răng khểnh chính là hiện tượng sai lệch vị trí răng, cụ thể là răng mọc khấp khểnh, lệch lạc so với toàn bộ cung hàm. Vì vậy, răng khểnh sẽ gây ra một vài vấn đề ảnh hưởng đến sức khỏe răng miệng. Cụ thể:
- Răng khểnh khiến cản trở hoạt động ăn nhai và nghiền nát thức ăn.
- Vị trí của răng khểnh rất dễ gây giắt thức ăn, tạo điều kiện cho mảng bám tích tụ và hình thành vi khuẩn gây sâu răng, viêm lợi, viêm nha chu…
- Một số trường hợp răng khểnh mọc quá lệch dẫn đến các răng khác bị xô lệch gây mất thẩm mỹ.
- Răng khểnh quá to và mọc chìa ra ngoài quá nhiều gây tổn thương niêm mạc miệng.
Vậy như thế nào là một chiếc răng khểnh vừa đẹp vừa khỏe mạnh?
Một chiếc răng khểnh đáp ứng cả tiêu chí về phong thủy và y khoa sẽ có những đặc điểm sau.
- Răng khểnh có kích thước vừa phải, không quá nhọn. Kích thước đồng đều với các răng khác.
- Răng khểnh có màu đồng đều với các răng lân cận, không bị xỉn và ố màu.
- Răng mọc lệch, chếch cao một góc vừa phải và không gây xô lệch cho các răng khác.
- Khi cười, răng khểnh tạo được sự hài hòa với môi, cung hàm, các răng lân cận và cả gương mặt.
Nguyên nhân mọc răng khểnh
Răng khểnh xuất hiện vì những lý do sau.
- Vị trí giữa răng cửa và răng hàm quá hẹp hoặc kích thước hai răng này quá to, không đủ chỗ cho răng nanh số 3 mọc.
- Răng vĩnh viễn đã mọc nhưng răng sữa chưa rụng. Quá trình này khiến các răng xô đẩy nhau và làm lệch hướng răng nanh.
- Do thói quen như đẩy lưỡi, tì đè vào răng khi răng đang mọc.
- Cung hàm thiếu chỗ, khiến các răng mọc chen chúc, lệch lạc, trong đó có răng nanh số 3.
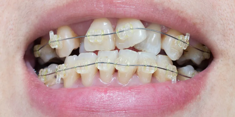
Hình ảnh răng khểnh
Để giúp bạn có cái nhìn rõ hơn về một chiếc răng khểnh đẹp và khỏe mạnh. Nha khoa Sing cung cấp một vài hình ảnh dưới đây nhằm giúp bạn có thể tự đánh giá tình trạng răng khểnh của bản thân.


Phân biệt răng nanh và răng khểnh
Về bản chất, răng khểnh và răng nanh là một. Tuy nhiên, cái tên răng khểnh là để chỉ tình trạng mọc lệch của răng nanh. Trong khi đó, răng nanh là cách gọi nói chung của một loại răng có chức năng và vị trí cụ thể trong cung hàm.
| Tiêu chí phân loại | Răng nanh | Răng khểnh |
| Chức năng | Ăn nhai, cụ thể là cắn và xé thức ăn | Không có tác dụng ăn nhai |
| Hướng mọc răng | Mọc thẳng | Mọc chếch ra ngoài so với toàn bộ cung răng |
| Vị trí và số lượng | 4 cái, chia đều cho 2 hàm răng, nằm giữa răng cửa và răng hàm | Tùy vào tình trạng răng của mỗi người. Tuy nhiên, thông thường chỉ có 1 - 2 răng nanh mọc lệch ở hàm trên |
| Ảnh hưởng đến thẩm mỹ | Không gây mất thẩm mỹ | Nếu mọc quá lệch có thể khiến hàm răng lệch lạc gây mất thẩm mỹ |
| Ảnh hưởng đến vệ sinh răng miệng | Không gây khó khăn khi vệ sinh răng miệng | Rất khó vệ sinh, dễ tạo điều kiện cho mảng bám tích tụ. |
Răng khểnh có tốt không?
Câu trả lời là không. Bản chất của răng khểnh vẫn là một loại răng mọc sai vị trí. Một khi mọc lệch thì chiếc răng này mất hoàn toàn chức năng ăn nhai và trở nên dư thừa trong hàm răng. Không chỉ vậy, vị trí của răng khểnh tạo không gian để thức ăn mắc vào. Vị trí này rất khó vệ sinh nên sẽ tiềm ẩn nguy cơ mắc các bệnh lý nha khoa về lâu dài.
Nhổ răng khểnh có đau không?
Bạn sẽ không bị đau trong quá trình nhổ răng do bác sĩ sẽ tiến hành gây tê cục bộ. Sau khi thuốc tê hết tác dụng thì bạn có thể sẽ cảm thấy ê buốt nhẹ. Tuy nhiên ngưỡng đau này ở mức chịu được và sẽ mau chóng hết sau vài ngày nên bạn không cần quá lo lắng.
Xem thêm: Nhổ răng khểnh có nguy hiểm không? Những điều cần lưu ý
Các phương pháp điều chỉnh răng khểnh
Hiện tại có 2 phương pháp để chỉnh lại vị trí răng khểnh: bọc răng sứ và niềng răng.
- Bọc răng sứ: Cách này áp dụng cho trường hợp răng khểnh lệch ở mức độ nhẹ. Bác sĩ sẽ tiến hành mài mỏng một lớp men răng và dùng mão sứ chụp lên. Điểm mạnh của phương pháp này là thời gian thực hiện nhanh chóng, răng đẹp bền. Tuy nhiên, phương pháp này gây xâm lấn răng thật nên sẽ đòi hỏi răng khểnh phải chắc khỏe để tránh gây hệ lụy về sau.
- Niềng răng: Đây là phương pháp tối ưu nhất để điều chỉnh răng khểnh, đặc biệt là những trường hợp sai lệch lớn. Bác sĩ sẽ sử dụng dụng cụ nha khoa đặc biệt để kéo răng khểnh về vị trí đúng của nó. Cách này sẽ giúp cả hàm răng đẹp đều, không gây xâm lấn răng thật nên đảm bảo răng chắc khỏe lâu dài. Ngoài ra, phương pháp này có nhiều loại mắc cài đa dạng, phù hợp với nhu cầu khác nhau về thẩm mỹ và chi phí nên nhiều người có thể áp dụng.

Nha khoa Sing là chuỗi phòng khám uy tín nhất Hà Nội đã có 12 năm kinh nghiệm điều chỉnh răng khểnh. Tại đây, chúng tôi cung cấp hai dịch vụ chữa răng khểnh hiệu quả nhất hiện nay là niềng răng và bọc răng sứ.
- Bạn sẽ được thăm khám và tư vấn bởi các bác sĩ chuyên môn cao, từng công tác tại các bệnh viện lớn như Bệnh viện Quân y 7, Bệnh viện Trung ương Quân đội 108…
- Nha khoa Sing cung cấp công nghệ nha khoa tiên tiến nhất như công nghệ Scan Itero, công nghệ CT Conebeam 3D… nhằm giúp xác định chính xác nguyên nhân mọc răng khểnh cũng như dự đoán sớm kết quả niềng răng.
- Cung cấp vật liệu mão sứ nhập khẩu, chính hãng, có chế độ bảo hành rõ ràng đảm bảo bạn sẽ có một chiếc răng nanh bền đẹp và thực hiện được chức năng ăn nhai.
Nếu bạn đang sở hữu một chiếc răng khểnh, đừng ngần ngại đặt lịch tư vấn với bác sĩ tại Nha khoa Sing để có kế hoạch điều trị phù hợp nhé!
Mỗi phòng khám thuộc hệ thống Nha Khoa Sing được Sở Y tế các tỉnh thành thẩm định các danh mục kỹ thuật khác nhau. Quý khách sẽ được thực hiện các dịch vụ theo đúng những danh mục kỹ thuật mà Sở Y tế cho phép. Những danh mục khác sẽ được thực hiện tại bệnh viện.
Đặt lịch hẹn
Nha Khoa Sing sẽ liên hệ đến Quý Khách trong vòng 3 phút
(Tổng đài hỗ trợ làm việc từ 8h-22h mỗi ngày trừ Lễ, Tết)